Revulsion fracture



Blog Main


5/6/19

The next wave of BLM paperwork is ready for me to fill out.



5/7/19
10:21am

To review, in order to fundraise for our camp BLM decided Hammer And Cyclery has to get a Special Recreations Permit. In order to get an SRP, we need a Pershing County Business License. In order to get a Pershing County Business License, we have to get a Nevada State business license. Turns out each needs to be renewed annually. Each comes with fees totaling $250. Each is hours of checking boxes, providing proof of ID numbers or proof of exemptions or obtaining exemptions, and on and on and on.

Again, we do no business at Burning Man, in Pershing County, or in Nevada and we have no paid employees.

It feels like extortion.

If every camp had to do this, I would feel differently. Of course, if every camp had to do this, there'd be a riot and no camp would have to do this.



11:31pm

I think I broke my toe.

We were getting ready to go to the cast and crew screening of Tuscaloosa (wide release is probably a few months away). We were running late, as usual. I was excited to get out my authentic on-theme 1970s AMF blue and red suede bowling shoes (#curbfind). I think I was stepping toward the closet for the shoes or turning to grab my shirt. Who knows? My memory was scrambled by explosive pain when I kicked the leg of my desk.

There was a loud crack like a loud knuckle snap. I bit my tongue till I couldn't hold it and then scream-groaned through gritted teeth. I'm pretty sure there's a broken toe. The pain faded in a minute and, with no more time to spare, I put the bowling shoes on over my socks and we "ran" out the door.



Briefly, Tuscaloosa is a beautiful movie. Immersive story. Apt. It is based on a book from the 1970s. Rich characters. Stellar acting (perhaps even the best part). But the themes of racism, love, misogyny, and in particular white privilege make this an especially important story for today.

Billy, the main character, lives the counter-culture life of a young white male from a relatively wealthy family: smoking pot, driving fast cars, charming the powers that be, and skating through life with barely a hitch. Meanwhile, his "brother," the son of Billy’s mom’s best friend, is black and, while he too crosses society's lines at times, he's made to pay a toll at every step.

Tuscaloosa. See it. (Also, that's my lighter Billy uses to light his cigarettes.)

Congratulations to my talented wife and partner (and Henry and Mark and the rest of the cast and crew) on the (not quite) release of this wonderful project. Look for Elizabeth Richardson in the credits under Props Master.



Photo is Elizabeth, Director Phill, and Production Designer Mark Wojahn at the Walker Art Museum.

Elizabeth is leaving in the morning for Owatonna for a three week shoot and she hasn't finished packing. So we rushed/hobbled off to the Walker (irony) for the movie and we rushed/hobbled back to finish packing.

Finally the car is loaded. Elizabeth is decompressing. I finally took my sock off. Lots of purple bruising.

I'll call a doctor tomorrow after Elizabeth is on the road.



5/8/19
4:42pm

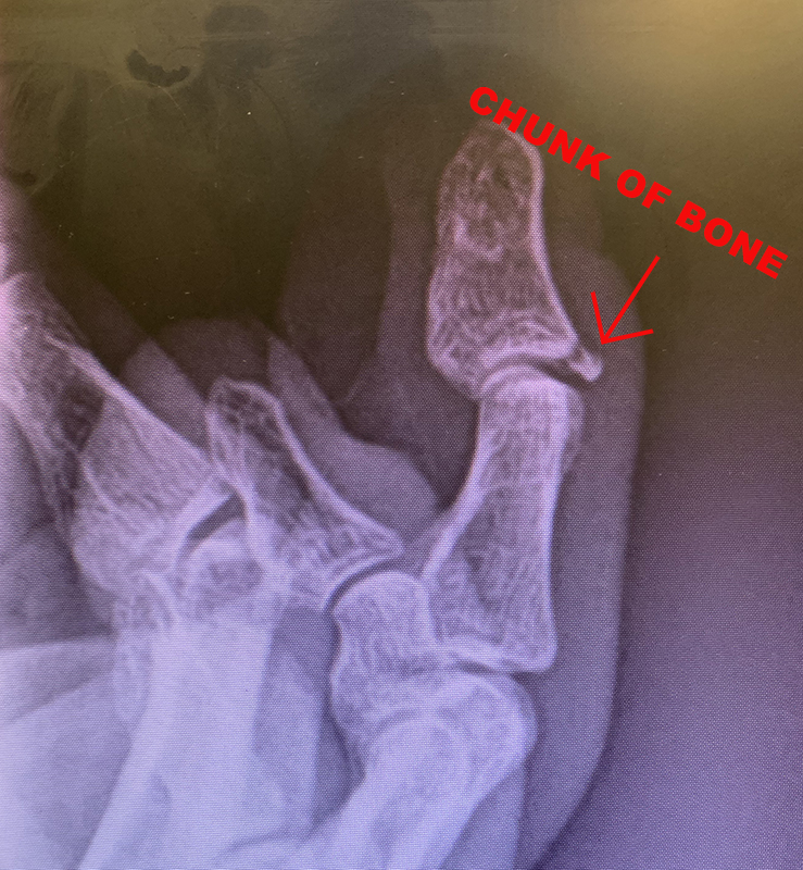
Elizabeth is off. The SRP paperwork is printed. Nevada State business licnese is renewed. And the X-ray is clear.


Avulsion fracture. (Which is easy to remember because it sounds like revulsion which is what happens when you think about this next part.)

Avulsion fractures happen when your tendon gets stretched WAY more than it likes but refuses to let go of your bones. Instead, the tendon pulls a piece of your bone off. Apparently my bones are no match for my tendons. Time to get back on vitamin D.

It took about three hours to get an appointment, two hours to get an x-ray and consult, and $15 for this comfy boot. Dr. Winter told me to drive on over to Tria Orthopedic for an expert opinion. Neither of us brought up the fact that driving requires operational feet and one of mine was operating at reduced capacity. She said Tria takes walk-ins. I said that was ironic.


Apparently the concern with this kind of injury, besides permanently reduced mobility, is arthritis. Dr. Winter didn't say surgery, but it seems to me this is a surgery kind of situation. I'm not an x-ray technician, but that little chunk of bone seems pretty far away from the place it came from. What are the chances it (and my tendon) will reattach to the other side of the knuckle on their own?

At least there isn't much pain.

Incidentally, this is a surprisingly comfortable "boot." And for $30 a pair, I may have found a new source of shoes from now on.

I've got about two hours to get to Tria in rush hour traffic, get on their list, get in to see a medical professional of some kind, and get back to the shop before Build a Burner night. It's taco Wednesday!



6:23pm

Tria is pretty cool. There's a calming waterfall in the waiting area. Walk-ins are issued a vibrating pager thing so you can wander/hobble afar without fear of missing your name getting called. And they got me in without an appointment in less than 20 minutes. I wonder what this is going to cost?

I was seen by Dr. Jones. No relation to Indiana. I asked. He doesn't think I need anything. He said to keep the boot on for a week and no bare feet for a month. I assume that doesn't mean bedtime because that would make our foot-licking dog very sad.

The second worst part of this is no bike rides. The worst part is this poor little girl:


With Elizabeth out of town, no walks for a week. :(

I had to complete a little form about my injury, smoking and drinking habits, and occupation and hobbies.

Dr. Jones didn't ask about biking. He didn't want to know why I'd kicked a desk. He didn't comment on my answer to the question "What have you done to treat this injury?" to which I responded "I'm here, aren't I?"

Dr. Jones asked only about my response to the occupation question, "What is a Burning Man theme camp lead?"

I'm not sure he was prepared for the conversation. I got that grin reserved exclusively for unsuspecting virgins, and launched into my elevator pitch for Burning Man and Hammer And Cyclery which is an elevator pitch only if that elevator gets stuck between floors and requires using the elevator phone to contact emergency responders.

I don't think he is quite ready to join the camp, but I think I nudged him in the right direction.

Time for tacos!



11:01pm

What a great night.

I am an attention whore. Really I think breaking my toe has been the best part of my week so far. Everyone wants to know what happened and they listen to my whole story. And I tell it like it's an epic tragedy turned comedy with a beginning, middle, and end. Then they ask if I need any help with anything. It's fantastic. I'm like a Jr High kid who understands that all attention is good attention.

First it needs to be said that the tacos were amazing. I'm not a big Mexican food fan and I prefer Chipotle over Taco Riendo (laughing taco). But Amelia spent at least two hours putting this incredible spread together (with vegetarian and non-vegetarian options). It was gone in twenty minutes, so she went across the street to the Eastside Co-op and got more food.

And Pawel spent something like ten hours in the garage working on the grill. He wasn't cooking. He was disassembling and cleaning. Seriously. Ten hours.

Second, half of the people that came tonight were new to the camp and have come to Hammer And Cyclery because they believe in what we're doing. I spent at least an hour on the couch with Alejandro (friend of Alex's) talking about life and love and making it all work. I spent another chunk of time talking with Josh about art and bikes and the bible and politics. Neither of whom had I met before tonight.

Sam and Michael built Burner bikes. Jamie (Val's partner, not old MacDonald) stopped by for the first time in a while. And Shonda and David and Amanda and Jesse and Valerie and several others.


Thank you, Amelia and everyone. Hanging out with you people is what I always love most out of this camp.

And my deepest apologies to Brie who ate her dinner late and now has limited access to a pair of feet she is used to licking clean every night. (Yes, it's gross, but she is just so dedicated I've learned to tolerate it.)



NEXT POST







Hammer And Cyclery and Re-Cycle, Inc share no official affiliations with Burning Man or Black Rock City, LLC.

2017





Burning Man on bikes

In Burning Man's own words, "having a bicycle at Burning Man is crucial." But what kind of bike to bring? How do we park bikes at our theme camp? Do I always need to lock my bike? Yes. ...


Bicycle survival guide for Burning Man

Bicycle travel is the most practical way to get around. The Playa is not like a soft sandy beach. It is more akin to a well trodden dirt road and it makes for a surprisingly good cycling surface. ...


On-Playa bike repair

Somebody you know is going to have a problem with their bike. Bring some basic tools and become familiar with some common problems that can arise in one of the most punishing environments your bicycle will ever endure. ...


Learn to ride a bicycle

This is your chance to taste the freedom that bike riders have been enjoying for more than a hundred years. ...


A tube change on the Playa

So your bike has a flat tire. You're out on the Playa, hundreds of yards from anyone that can help. Don't worry, you can handle this. ...


Burning Man Yellow Bikes

A Yellow Bike is a bicycle that has been given to the public. Anyone can grab an unoccupied Yellow Bike, take it to their destination of choice, and leave the bike in an obvious place for the next rider. ...


Cleaning your bike after Burning Man

Mix up a solution of water and vinegar (half and half) and use a spray bottle to apply the mixture to your Playa bike (and anything else you want to use next year...or next week, like your lock). ...





HAMMER AND CYCLERY
(Playa address announced in July)
Open Daily 10:30am-5:30pm
Saturday Aug 29 - Monday Sept 7, 2020

Contact Us